จะเกิดอะไรขึ้นถ้าคุณไม่แปรงฟัน
เมื่อคุณละเลยการแปรงฟัน ฟิล์มบางๆ ของแบคทีเรียที่เรียกว่าคราบจุลินทรีย์จะก่อตัวขึ้นบนผิวฟัน การสะสมของคราบจุลินทรีย์นี้สามารถนำไปสู่ กลิ่นปากที่ไม่พึงประสงค์ ฟันผุ เหงือกอักเสบ อาจลุกลามไปถึงขั้นสูญเสียฟันได้
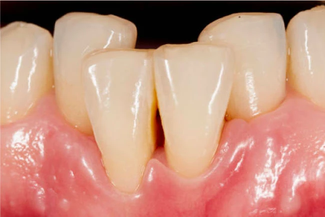
เหงือกร่น เป็นภาวะที่เนื้อเยื่อเหงือกที่อยู่รอบๆ ฟัน ร่นออกไป จนเผยให้เห็นรากฟัน อาจเกิดขึ้นได้จากหลายปัจจัย เช่น การแปรงฟันแรงๆ สุขอนามัยช่องปากที่ไม่ดี และโรคเหงือก สัญญาณเตือนเมื่อมีอาการเหงือกร่น เช่น อาการเสียวฟัน ฟันที่ดูยาวขึ้น รากฟันที่เปิดออก และมีเลือดออก เหงือกบวม แม้ว่าเนื้อเยื่อเหงือกที่ร่นแล้วจะไม่สามารถงอกขึ้นมาใหม่ได้เอง แต่การรักษาอย่างทันท่วงทีและการปรับเปลี่ยนวิธีการดูแลช่องปากให้ดีขึ้นจะช่วยป้องกันไม่ให้เกิดภาวะเหงือกร่นได้อีก

เหงือกร่นเป็นภาวะที่เนื้อเยื่อเหงือกที่อยู่รอบๆ ฟันร่นออกไป เผยให้เห็นรากฟัน เป็นปัญหาที่พบบ่อยซึ่งเกิดขึ้นได้ทั้งเด็กและผู้ใหญ่ และหากปล่อยทิ้งไว้โดยไม่ได้รับการรักษา ก็อาจนำไปสู่ปัญหาทางทันตกรรมที่รุนแรงยิ่งขึ้นได้ เหงือกร่นไม่เพียงแต่ส่งผลต่อรอยยิ้มของคุณเท่านั้น แต่ยังทำให้ฟันของคุณเสี่ยงต่ออาการเสียวฟันและฟันผุอีกด้วย
เหงือกร่นอาจเกิดขึ้นได้จากหลายปัจจัย เช่น การแปรงฟันแรงๆ สุขอนามัยช่องปากที่ไม่ดี และโรคเหงือก การแปรงฟันแรงเกินไปและการใช้แปรงสีฟันที่มีขนแข็งอาจทำร้ายเหงือกได้เมื่อเวลาผ่านไป นอกจากนี้ โรคเหงือก เช่น โรคปริทันต์อักเสบ ยังเป็นสาเหตุสำคัญของภาวะเหงือกร่น เนื่องจากมันจะทำลายเนื้อเยื่อเหงือกและโครงสร้างอื่นๆ
คุณจะรู้ได้อย่างไรว่าคุณมีอาการเหงือกร่น? มองหาสัญญาณเตือน เช่น อาการเสียวฟัน ฟันที่ดูยาวขึ้น รากฟันที่เปิดออก และมีเลือดออก เหงือกบวม หรือมีอาการเสียวฟันเนื่องจากรากฟันโผล่ออกมา เนื่องจากเคลือบฟันถูกทำลาย
การรักษาสุขอนามัยช่องปากที่ดีเป็นสิ่งสำคัญในการป้องกันและจัดการเหงือกร่น การแปรงฟัน การใช้ไหมขัดฟัน และการใช้น้ำยาบ้วนปากเป็นประจำจะช่วยขจัดคราบพลัคและแบคทีเรียที่ทำให้เกิดโรคเหงือก การดูแลช่องปากอย่างเหมาะสมเป็นประจำจะช่วยรักษาสุขภาพเหงือกได้อย่างมาก
กรรมพันธุ์ของแต่ละบุคคลมีผลต่อเหงือกร่น บางคนอาจมีความเสี่ยงทางพันธุกรรมที่ทำให้เหงือกร่นมากกว่า แม้ว่าจะได้รับการดูแลช่องปากอย่างเหมาะสมก็ตาม
ไลฟ์สไตล์ที่ไม่ดีต่อสุขภาพ เช่น การสูบบุหรี่และการบริโภคอาหารและเครื่องดื่มที่มีน้ำตาล อาจเป็นอันตรายต่อสุขภาพเหงือกได้ การสูบบุหรี่จะขัดขวางการไหลเวียนของเลือดไปยังเหงือก อีกทั้งศักยภาพในการรักษาและป้องกันการติดเชื้อก็จะน้อยลงด้วย การลดหรือเลิกนิสัยดังกล่าวอาจส่งผลดีต่อสุขภาพเหงือกได้เป็นอย่างมาก
แม้ว่าเนื้อเยื่อเหงือกที่ร่นแล้วจะไม่สามารถงอกขึ้นมาใหม่ได้เอง แต่การรักษาอย่างทันท่วงทีและการปรับเปลี่ยนวิธีการดูแลช่องปากให้ดีขึ้นจะช่วยป้องกันไม่ให้เกิดภาวะเหงือกร่นได้อีก การเข้ารับการรักษาจากผู้เชี่ยวชาญและการปฏิบัติตามคำแนะนำของทันตแพทย์จะช่วยให้คุณจัดการกับอาการเหงือกร่นได้อย่างมีประสิทธิภาพ
วิธีจัดการกับเหงือกร่นโดยทันตแพทย์มีหลายวิธี ขึ้นอยู่กับความรุนแรงของอาการ อาจมีทั้งการผ่าตัดปลูกถ่ายเหงือก การขูดหินปูน การเกลารากฟัน และการเคลือบฟลูออไรด์วานิช (Fluoride varnish) เพื่อทำให้เคลือบฟันแข็งแรงขึ้นและลดอาการเสียวฟัน
นอกจากการเข้ารับการรักษาจากผู้เชี่ยวชาญแล้ว การดูแลสุขภาพเหงือกด้วยวิธีธรรมชาติยังช่วยเสริมสุขภาพเหงือกได้อีกด้วย เช่น การใช้น้ำมันมะพร้าว เจลว่านหางจระเข้ และรับประทานอาหารที่อุดมด้วยวิตามินซี อย่างไรก็ตาม จำเป็นต้องปรึกษาทันตแพทย์ก่อนที่จะใช้วิธีรักษาแบบธรรมชาติเพียงอย่างเดียว
การป้องกันย่อมดีกว่าการรักษาเสมอเมื่อพูดถึงเรื่องสุขภาพเหงือก ปฏิบัติตามเคล็ดลับเหล่านี้เพื่อลดความเสี่ยงต่อภาวะเหงือกร่น
การตรวจสุขภาพฟันเป็นประจำถือเป็นสิ่งสำคัญในการรักษาสุขภาพช่องปากที่ดีและช่วยให้คุณตรวจพบปัญหาช่องปาก รวมถึงเหงือกร่นได้ตั้งแต่เนิ่นๆ ทันตแพทย์สามารถสังเกตเห็นสัญญาณของเหงือกร่นและให้คำแนะนำที่เหมาะสมในการป้องกันปัญหาเพิ่มเติมได้
การผ่าตัดปลูกถ่ายเหงือกเป็นขั้นตอนทั่วไปในการรักษาเหงือกร่น ในระหว่างขั้นตอนนี้ ทันตแพทย์จะนำเนื้อเยื่อเหงือกจากบริเวณอื่นของปาก หรือใช้วัสดุสังเคราะห์มาปิดรากฟันที่โผล่ออกมา ซึ่งจะช่วยลดอาการเสียวฟันและปกป้องรากฟันจากความเสียหายเพิ่มเติม
นอกเหนือจากการตรวจสุขภาพฟันเป็นประจำแล้ว ยังมีสิ่งที่คุณควรทำเป็นกิจวัตรเพื่อรักษาสุขภาพเหงือกให้แข็งแรง
เหงือกร่นอาจส่งผลต่อความมั่นใจของแต่ละบุคคล อาจทำให้เกิดความรู้สึกประหม่าเมื่อต้องยิ้ม หรือส่งผลต่อการเข้าสังคมและสุขภาพจิตได้ การเข้ารับการรักษาจากผู้เชี่ยวชาญจะช่วยบรรเทาความกังวลเหล่านี้ได้
โดยสรุป เหงือกร่นเป็นปัญหาทางทันตกรรมที่พบบ่อยซึ่งต้องได้รับการดูแลเอาใจใส่ การทำความเข้าใจสาเหตุ อาการ และวิธีการรักษาที่มีอยู่เป็นสิ่งสำคัญอย่างยิ่งต่อการรักษาสุขภาพช่องปากที่ดี อย่าลืมจัดลำดับความสำคัญในการตรวจสุขภาพฟันเป็นประจำและปรับเปลี่ยนไลฟ์สไตล์เพื่อสุขภาพที่ดีเพื่อให้คุณสามารถป้องกันและจัดการภาวะเหงือกร่นได้อย่างมีประสิทธิภาพ
เหงือกร่นอาจเกิดจากการแปรงฟันแรง สุขอนามัยช่องปากที่ไม่ดี และโรคเหงือก
ไม่ได้ เมื่อเนื้อเยื่อเหงือกร่นแล้ว จะไม่สามารถงอกขึ้นมาใหม่เองได้ แต่การรักษาอย่างทันท่วงทีและการปรับเปลี่ยนวิธีการดูแลช่องปากให้ดีขึ้นจะช่วยป้องกันภาวะเหงือกร่นได้
คุณสามารถป้องกันเหงือกร่นได้โดยการใช้แปรงสีฟันขนนุ่ม ใช้ไหมขัดฟันเป็นประจำ รักษาสมดุลอาหาร และหลีกเลี่ยงผลิตภัณฑ์ยาสูบ
มี การรักษาด้วยวิธีธรรมชาติ เช่น กลั้วปากด้วยน้ำมันมะพร้าวและการใช้เจลว่านหางจระเข้สามารถช่วยบำรุงสุขภาพเหงือกได้ อย่างไรก็ตาม ควรปรึกษาทันตแพทย์ก่อนจะใช้วิธีการรักษาเหล่านี้เพียงอย่างเดียว
วิธีการรักษาเหงือกร่นโดยทันตแพทย์มีดังนี้ การผ่าตัดปลูกถ่ายเหงือก การขูดหินปูน และเกลารากฟัน และการเคลือบฟลูออไรด์วานิชเพื่อแก้ปัญหาเหงือกร่น
คำเตือน: บทความนี้มีวัตถุประสงค์เพื่อสร้างความเข้าใจและให้ความรู้ในเรื่องสุขภาพช่องปากทั่วไป ไม่ได้ใช้เพื่อแทนคำแนะนำ การวินิจฉัย หรือการรักษาจากผู้เชี่ยวชาญด้านทันตกรรม หากคุณมีคำถามเกี่ยวกับอาการหรือการรักษาทางการแพทย์ โปรดขอคำแนะนำจากทันตแพทย์หรือผู้ให้บริการด้านสุขภาพที่มีคุณสมบัติเหมาะสม