จะเกิดอะไรขึ้นถ้าคุณไม่แปรงฟัน
เมื่อคุณละเลยการแปรงฟัน ฟิล์มบางๆ ของแบคทีเรียที่เรียกว่าคราบจุลินทรีย์จะก่อตัวขึ้นบนผิวฟัน การสะสมของคราบจุลินทรีย์นี้สามารถนำไปสู่ กลิ่นปากที่ไม่พึงประสงค์ ฟันผุ เหงือกอักเสบ อาจลุกลามไปถึงขั้นสูญเสียฟันได้
สภาวะทางทันตกรรมที่ฟันล่างยื่นออกมาเกินฟันบน หรือฟันล่างคร่อมฟันบน อาจเกิดจากหลายปัจจัย รวมถึงพันธุกรรม โครงสร้างกราม หรือพฤติกรรมที่ทำจนเคยชิน ฟันล่างยื่นออกมาเกินฟันบนนี้ อาจนำไปสู่ปัญหาในการกัด การเคี้ยว และเป็นอุปสรรคในการพูด เราจะมาดูวิธีการแก้ไขฟันล่างคร่อมฟันบนประเภทต่างๆ ซึ่งการรักษาที่จะพูดถึงต่อไปนี้จะสามารถช่วยให้คุณมีรอยยิ้มที่มั่นใจและสุขภาพดีได้

รูปภาพจาก Hampstead Orthodontic Practice
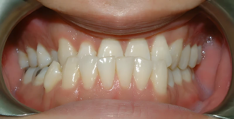
ฟันล่างคร่อมฟันบน (Underbite) หมายถึง สภาวะทางทันตกรรมที่ฟันล่างยื่นออกมาเกินฟันบนเมื่อปิดปาก ความผิดปกตินี้อาจเกิดจากหลายปัจจัย รวมถึงพันธุกรรม โครงสร้างกราม หรือพฤติกรรมที่ทำจนเคยชิน เช่น การดูดนิ้วหัวแม่มือ สภาวะฟันล่างคร่อมฟันบนอาจนำไปสู่ปัญหาในการกัด การเคี้ยว และเป็นอุปสรรคในการพูด จึงจำเป็นต้องแก้ไขเพื่อป้องกันภาวะแทรกซ้อนเพิ่มเติมและปรับปรุงทั้งสุขภาพช่องปากและความสวยงาม
การทำความเข้าใจถึงต้นตอของปัญหาฟันล่างคร่อมฟันบนเป็นสิ่งสำคัญต่อการพิจารณาการรักษาที่เหมาะสมที่สุด สาเหตุทั่วไปบางประการ ได้แก่
การแก้ไขฟันล่างคร่อมฟันบนนั้นเป็นมากกว่าแค่ความสวยงาม มีประโยชน์ต่อสุขภาพหลายประการ เช่น
ในบางกรณี การรักษาโดยไม่ผ่าตัดอาจเพียงพอที่จะแก้ไข โดยใช้อุปกรณ์เหล่านี้
การจัดฟันเป็นวิธีที่ใช้กันทั่วไปและมีประสิทธิภาพในการแก้ไขฟันล่าง จะช่วยให้ฟันค่อยๆเคลื่อนไปอยู่ตำแหน่งที่เหมาะสม ไปตามแนวกราม วิธีการของเหล็กดัดฟันก็คือจะใช้แรงกดเบา ๆ บนฟันและกระดูกขากรรไกร ทำให้มีการเรียงตัวดีขึ้นเหล็กดัดฟันเป็นตัวเลือกที่ดีมากสำหรับทั้งวัยรุ่นและผู้ใหญ่ที่กำลังมองหาวิธีแก้ไขฟันล่าง
การจัดฟันแบบใส (Invisalign) เป็นอีกทางเลือกหนึ่งของการจัดฟันแบบเดิมๆ โดยใช้เครื่องมือจัดฟันแบบใสเพื่อแก้ไขฟันล่าง มีลักษณะใสแทบมองไม่เห็น ทำให้เป็นตัวเลือกยอดนิยมในกลุ่มผู้ใหญ่ที่ต้องการตัวเลือกการรักษาที่มองแล้วดูเป็นธรรมชาติ การจัดฟันแบบใส Invisalign จะค่อยๆ เคลื่อนฟันไปยังตำแหน่งที่ต้องการ ช่วยแก้ไขปัญหาฟันล่างและมีรอยยิ้มที่สวยงามขึ้น
บางครั้ง Headgear ก็ใช้สำหรับการแก้ไขฟันล่าง แต่มักถูกเข้าใจผิด ความจริงแล้วอุปกรณ์นี้จะช่วยให้ขากรรไกรเจริญเติบโตและเคลื่อนฟันได้อย่างมีประสิทธิภาพ อย่างไรก็ตาม ทางเลือกการรักษาสมัยใหม่ เช่น การจัดฟันและ Invisalign ทำให้การเลือกใช้ Headgear น้อยลง ทั้งนี้ทันตแพทย์จะพิจารณาจากสภาพฟันล่างและแนะนำการรักษาที่เหมาะสมที่สุด
หากฟันเกิดคร่อมเยอะมากไป หรือกรณีที่การรักษาแบบปกติไม่เพียงพอ อาจจำเป็นต้องได้รับการผ่าตัด มีตัวเลือกการผ่าตัดหลักสองวิธี
ขั้นตอนการจัดตำแหน่งขากรรไกรนั้นจะรวทถึงการกรีดกระดูกขากรรไกรเพื่อจัดให้อยู่ในตำแหน่งให้ถูกต้อง ซึ่งการผ่าตัดประเภทนี้มีประโยชน์อย่างมาก ถ้าสาเหตุของฟันคร่อมเกิดจากกรามล่างเล็ก หลังจากเปลี่ยนตำแหน่งแล้ว ขากรรไกรจะถูกยึดให้อยู่ในตำแหน่งใหม่โดยใช้สกรูและเพลต
การผ่าตัดขากรรไกร (Orthognathic Surgery) เป็นการผ่าตัดเพื่อแก้ไขความผิดปกติของโครงกระดูกและฟัน มีวัตถุประสงค์เพื่อปรับปรุงการทำงานและรูปลักษณ์ของกรามและใบหน้า โดยจะมีการวางแผนการผ่าและการปรับกระดูกอย่างรอบคอบเพื่อให้ได้ตำแหน่งที่ต้องการ
การฟื้นตัวจากการผ่าตัดแก้ไขฟันคร่อมยังถือเป็นระยะวิกฤตอยู่ ผู้ป่วยควรปฏิบัติตามคำแนะนำของศัลยแพทย์อย่างเคร่งครัด รวมถึง
ในกรณีที่มีอาการซับซ้อน แนะนำให้ใช้การรักษาโดยการจัดฟันร่วมกับการผ่าตัด สามารถใช้เหล็กจัดฟันหรือ Invisalign ก่อนและหลังการผ่าตัด เพื่อให้ได้ผลลัพธ์ที่ดีที่สุด ขั้นตอนก่อนการผ่าตัดจะจัดฟันให้เหมาะสมเพื่ออำนวยความสะดวกในการผ่าตัด ในขณะที่การจัดฟันหลังการผ่าตัดจะช่วยปรับผลลัพธ์ให้เหมาะสมยิ่งขึ้น
หลังจากเข้ารับการรักษาแก้ไขฟันคร่อมแล้ว การสวมรีเทนเนอร์ถือเป็นสิ่งสำคัญในการรักษาผลลัพธ์ไว้ รีเทนเนอร์ช่วยป้องกันไม่ให้ฟันเคลื่อนกลับตำแหน่งเดิม จึงมั่นใจได้ถึงประสิทธิผลของการรักษาในระยะยาว
การเริ่มจัดการตั้งแต่เนิ่นๆ เป็นสิ่งสำคัญ ทันตแพทย์จัดฟันสามารถช่วยพัฒนากรามในเด็กที่กำลังเติบโตได้ และอาจหลีกเลี่ยงการผ่าตัดในภายหลังได้ อุปกรณ์ทันตกรรมและการจัดฟันมักถูกใช้เพื่อกำหนดการเติบโตของกรามและให้ผลลัพธ์ที่ดีที่สุด
แม้ว่าการรักษาแก้ไขฟันคร่อมโดยทั่วไปจะปลอดภัย แต่ก็มีความเสี่ยงและภาวะแทรกซ้อนที่อาจเกิดขึ้นได้ ที่ต้องระวัง เช่น
ใช่ สามารถรักษาโดยไม่ต้องผ่าตัด เช่น เหล็กจัดฟันและการจัดฟันแบบใส (Invisalign) สามารถแก้ไขฟันล่างคร่อมฟันบนเล็กน้อยถึงปานกลางได้อย่างมีประสิทธิภาพ
อาจมีความรู้สึกไม่สบายบ้างในช่วงแรกๆ แต่โดยทั่วไปสามารถจัดการได้และเกิดขึ้นแค่ชั่วคราว
แนะนำให้เข้ารับการรักษาแต่เนิ่นๆ และการรักษาสามารถเริ่มได้ตั้งแต่อายุ 7 ถึง 9 ปี
ได้ ทั้งการเหล็กจัดฟันและ Invisalign เป็นตัวเลือกที่เหมาะสมสำหรับผู้ใหญ่ที่ต้องการแก้ไขฟันล่างคร่อมฟันบน
การใช้รีเทนเนอร์อย่างเหมาะสมและการดูแลช่องปากที่ดีจะทำให้ผลลัพธ์คงอยู่ได้ยาวนาน
โดยสรุป การรักษาแก้ไขฟันล่างคร่อมฟันบนมีประโยชน์มากมาย ตั้งแต่สุขภาพช่องปากที่ดีขึ้นไปจนถึงความมั่นใจในตนเองที่เพิ่มขึ้น ไม่ว่าจะผ่านทางเลือกที่ไม่ต้องผ่าตัด เช่น เหล็กจัดฟันและการจัดฟันแบบใส Invisalign หรือการผ่าตัด ก็สามารถช่วยแก้ปัญหาได้ หากคุณหรือคนที่คุณรู้จักกำลังเผชิญกับฟันล่างคร่อมฟันบน อย่าลังเลที่จะปรึกษาทันตแพทย์เพื่อหาวิธีการรักษาที่ดีที่สุดเพื่อรอยยิ้มที่มีความสุขและสุขภาพดียิ่งขึ้น
คำเตือน: บทความนี้มีวัตถุประสงค์เพื่อสร้างความเข้าใจและให้ความรู้ในเรื่องสุขภาพช่องปากทั่วไป ไม่ได้ใช้เพื่อแทนคำแนะนำ การวินิจฉัย หรือการรักษาจากผู้เชี่ยวชาญด้านทันตกรรม หากคุณมีคำถามเกี่ยวกับอาการหรือการรักษาทางการแพทย์ โปรดขอคำแนะนำจากทันตแพทย์หรือผู้ให้บริการด้านสุขภาพที่มีคุณสมบัติเหมาะสม